Por Giordano W. Calloni – Dpto. de Biologia Celular, UFSC
Olá, Leitores! Primeiramente, preciso confessar que eu estava trabalhando em outro texto para o Blog, quando no sábado, dia 06/05/23, me deparei com esta estonteante novidade. Detalhe: meu texto precisava ser entregue no dia 08/05/23. Não hesitei, “coloquei na gaveta” o texto que estava em andamento. Simplesmente não resisti ao impulso de contar esta novidade aos leitores do CDQ o quanto antes. Como o título desta postagem revela, algo extraordinário, que não acontece todos os dias, aconteceu: um grupo de pesquisadores acaba de identificar uma nova organela celular. A pesquisa foi publicada na prestigiada Revista Nature online no dia 03/05/23.
Para os menos familiarizados com o tema, as organelas das células são as estruturas responsáveis pelas diferentes funções que uma célula executa (Figura 1). Por exemplo: em eucariontes, temos o núcleo onde se encontra o DNA, repositório da informação genética. No citoplasma, os retículos endoplasmáticos, liso e rugoso, sintetizam lipídeos e proteínas, respectivamente; o complexo de Golgi processa e distribui as proteínas e lipídios. As mitocôndrias produzem energia. Os lisossomos e peroxissomos trabalham pela “limpeza” interna da célula. O citoesqueleto confere forma e motilidade e organiza os demais componentes intracelulares. Em células vegetais, os cloroplastos realizam a fotossíntese e os vacúolos armazenam diversas substâncias e fazem o controle osmótico.

Mas então, quem é essa nova organela? E o que ela faz? Parece que essa organela ainda não recebeu um nome definitivo, mas está sendo chamada nesse momento de corpos PXo (do inglês PXo bodies) (Figura 1, em amarelo). Entenderemos em breve o porquê de ela estar sendo chamada assim.
Figura 1: As principais organelas de uma célula animal e a organela recém-descoberta: Corpo PXo.
Ela atua como um sensor e um reservatório de fosfato. O fosfato é um íon inorgânico que está presente em diversos componentes celulares. Por exemplo, as membranas plasmáticas (envoltórios que separam o meio celular interno do meio externo) e todas as organelas com membranas de uma célula são compostas por fosfolipídeos. Vejam que o próprio nome nos conta que os fosfatos estão lá! E a principal fonte de energia de nossas células: Adenosina Trifosfato, o famoso ATP, percebam, é composto por fosfato. Ou seja, o fosfato parece estar presente em quase tudo, desde a estrutura das organelas até nos processos (funções) celulares. Em resumo, o fosfato é absolutamente essencial à vida. Tão essencial que os pesquisadores descobriram a existência dessa nova organela que serve como sensor e regula a disponibilidade do fosfato nas células.
Mas como essa organela foi descoberta? De uma maneira bastante engenhosa, vocês irão perceber. Os pesquisadores alimentaram mosquinhas da fruta com uma molécula que inibe a absorção de fosfato nas células, o chamado ácido fosfonofórmico (PFA). Quando os pesquisadores analisaram imagens de microscopia do revestimento intestinal das moscas, eles notaram, curiosamente, que a falta de fosfato levava a um aumento no número de células. Essa rápida multiplicação celular também ocorreu quando as moscas eram alimentadas com alimentos que continham 10% menos fosfato do que os níveis padrões adotados. Juntos, esses dados indicavam claramente que a diminuição do fosfato promovia um aumento no número de células intestinais. Mas por que isso acontecia?
Os pesquisadores então investigaram se os baixos níveis de fosfato poderiam influenciar na expressão gênica das células. Eles então observaram uma diminuição na expressão de um gene chamado PXo (olha o nome da organela aparecendo…) quando as células eram privadas de fosfato. Importante salientar que esse gene é semelhante a um gene presente nos mamíferos que codifica uma proteína sensível ao fosfato, chamado XPR1. Os cientistas conseguiram estabelecer uma correlação: a expressão gênica reduzida de PXo levava a uma aceleração na divisão celular. E, ao contrário, quando promoveram uma superexpressão da proteína PXo, a divisão celular desacelerou.
Mas então, será que seria possível localizar com precisão onde se encontrava expressa essa proteína PXo nas células?

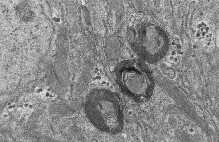
Para isso, os pesquisadores desenvolveram um anticorpo que reconheceria e se ligaria a essa proteína e colocaram nele uma espécie de etiqueta fluorescente. Quando as células marcadas com esse anticorpo fluorescente foram levadas a um microscópio eles observaram que a fluorescência para a proteína PXo estava associada a uma série de estruturas ovais e membranosas nas células. Essas estruturas não pareciam ser nenhuma das organelas conhecidas até então! Eureka, uma nova organela foi identificada! Ela foi chamada de corpo PXo, em função justamente de apresentar uma altíssima expressão da proteína PXo.
Os corpos PXo são compostos por várias camadas de membrana e a proteína PXo transporta fosfato através delas. Uma vez dentro da organela, o fosfato é convertido em fosfolipídios, que como já foi mencionado são os principais blocos de construção das membranas celulares. O mais espetacular é que essa era uma função até então atribuída exclusivamente ao Retículo Endoplasmático Liso.
Finalmente, quando as células da mosca foram privadas de fosfato, os corpos PXo se separaram e liberaram os fosfolipídios armazenados em cada célula, indicando que funcionam como reservatórios. Esse processo desencadeou um sinal de estresse que promoveu a produção de novas células. Agora entendemos o porquê do aumento no número das células intestinais nos experimentos envolvendo a redução dos níveis de fosfato disponível. Parece tratar-se de uma maneira de o revestimento intestinal manter os níveis de fosfato estáveis: o aumento do número de células aumenta a capacidade de absorver o nutriente. E, justamente, é essa organela recém identificada que funciona como um sensor-reservatório de fosfato dentro da célula.
É importante salientar que essa organela foi observada em células intestinais da mosquinha das frutas, a Drosophila melanogaster, amplamente utilizada como modelo experimental. Ou seja, ainda não sabemos se outras células do corpo ou se as células intestinais dos humanos também contam com essa organela. Gostaria de enfatizar que muitas descobertas que impactam a nossa vida do ponto de vista científico e médico foram feitas utilizando a Drosophila melanogaster inicialmente. Portanto, é certo que a partir dessa descoberta os cientistas passarão a voltar seus olhares com muito mais atenção em busca dessa organela em nossas células também. Há fortes chances de que, daqui a algum tempo, eu possa voltar aqui para contar essa novidade para vocês (não esqueçam, temos um gene similar em nossas células, o XPR1)! Aguardemos…
Para saber mais acesse: