Por Hélia Neves – Faculdade de Medicina de Lisboa – Portugal

Macrófagos (verde) “ligam” as células condutoras do coração (roxo) proporcionando o estímulo eléctrico que ajuda as células do coração a contrair. Fonte: Sciencenews
Os macrófagos [do grego, μακρος (macro, que significa grande) e φαγειν (fago, que significa comer)], são células de grandes dimensões que patrulham e limpam os tecidos do nosso corpo de debris (restos) celulares, substâncias estranhas, micróbios, células cancerosas e outros tipos de células do sangue (quando envelhecidas), através de um processo designado por fagocitose (“comer a célula”). Para além de fagocitarem, os macrófagos são células importantes do nosso sistema de defesa não-específica (imunidade inata) e também ajudam a iniciar mecanismos de defesa específicos (imunidade adaptativa), recrutando outras células do sistema imunitário (como os linfócitos).
No entanto, os estudos mais recentes, usando abordagens experimentais inovadoras, têm revelado, o que parece ser, a grande diversidade funcional do macrófago, que supera as propriedades convencionais de defesa. A título de exemplo já discutimos anteriormente a insuspeita actividade dos macrófagos na nidificação de células tumorais no pulmão (acesse o texto clicando aqui). E novas funções continuam a ser “descobertas” para esta extraordinária célula…
Os cientistas descobriram que…os macrófagos residentes no coração são importantes para o funcionamento do coração, contribuindo para a manutenção do seu regular batimento cardíaco.
No coração existe um conjunto de células responsável pela contracção do músculo cardíaco, as células do sistema cardionector. Este sistema é formado por células musculares modificadas, que muito cedo no desenvolvimento do coração adquirem a capacidade de gerar sinais eléctricos de forma autónoma, que conduzem à contracção ritmada do músculo cardíaco. Estas células são o “pacemaker” natural do coração! Ou assim pensávamos…

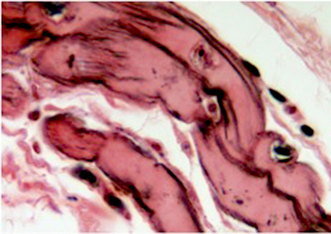
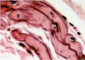
Nesta imagem observa-se um conjunto de células do sistema cardionector, as Fibras de Purkinje, que se localizam na parede dos ventrículos. A coloração com hematoxilina férrica evidencia a preto as poucas miofibrilas existentes nas fibras condutoras (contraste com Eosina). Imagem cedida pelo Instituto de Histologia e Biologia do Desenvolvimento – Faculdade de Medicina da Universidade de Lisboa.
A equipe de Matthias Nahrendorf da “Harvard Medical School” mostrou no seu último trabalho publicado na revista “Cell”, que as células do sistema cardionector não trabalham sozinhas. Os macrófagos residentes do coração ajudam à geração dos sinais eléctricos das células do sistema cardionector, contribuindo para a manutenção da contracção muscular do coração.
“A existência de macrófagos no tecido cardíaco saudável é conhecida há vários anos, mas o seu papel específico neste órgão era até à data um mistério”, comentou Edward Thorp, imunologista da Faculdade de Medicina Feinberg da Universidade Northwestern, em Chicago.
Segundo os autores deste trabalho, esta descoberta foi um feliz acaso quando Matthias Nahrendorf, curioso por saber o papel dos macrófagos no coração, tentou realizar uma ressonância magnética cardíaca em murganhos (camundongos) geneticamente modificados para não terem macrófagos. O ratinho sem macrófagos no coração apresentava batimentos cardíacos muito lentos e irregulares, levando os investigadores a suspeitar que haveria um problema no nó atrioventricular (AV) do coração. Este nó faz parte do sistema cardio-nector e é responsável pela condução dos sinais eléctricos das aurículas para os ventrículos do coração
Para compreenderem as funções dos macrófagos, Nahrendorf e a sua equipe, isolaram essas células e depois cultivaram-nas in vitro em contacto com as células do sistema cardionector (ensaio de cultura de células). Estes investigadores observaram a formação de um canal (junção comunicante) entre os dois tipos de células, que permitia a passagem directa de íons dos macrófagos para as células condutoras do sistema cardionector, amplificando o sinal eléctrico das últimas e consequentemente reforçando o efeito de contracção do músculo cardíaco. Segundo Nahrendorf, autor deste trabalho, “com a ajuda dos macrófagos, o sistema de condução torna-se mais reprodutível, e mais rápido na condução do sinal eléctrico”.
Para estes investigadores, o próximo passo é confirmar a nova funcionalidade dos macrófagos do nó AV no coração humano. Essa descoberta poderá ser fundamental à compreensão da origem de muitos problemas cardíacos, como a arritmia, e ajudar a encontrar novas soluções terapêuticas que possam prevenir/complementar o uso de “pacemaker” no coração.
Pingback: Cientistas descobriram que... "CDQ"
o animação tem alguma coisa a er com a ausência dos macrofagos no coração?